Гуля и Леля-мои малышки.

taiv

VIP
Сообщения
4.234
Город
Питер
Объясню причину.Многие наверное помнят,что в феврале этого года я сломала ногу,слмала серьезно,мне делали серьезную операцию и вы решили мне помочь и собирали денежку,похоже с денежкой которую собирала Елена ЧЧернигина не все ясно,очень большая просьба отписаться кто посылал денежку или здесь или в лмчку или в контакт.Спасибо всем большое заранее-тогда Еленой Чернигиной мне была переведена сумма в 3 тысячи рублей!
 

taiv

VIP
Сообщения
4.234
Город
Питер
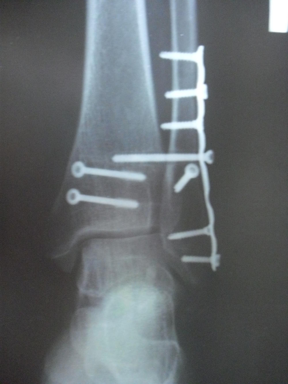
Девочки ну и немного расскажу о последних событиях,я недавно перенесла повторную операцию-вытащили мне все болты и пластину и я наконец-то первый раз на руки снимок ноги получила-честно в ужасе была-что там было!!!Счас уже ничего этого нет!Слабонервных просьба не смотреть!!!)))
 

Вложения

  • 1_006.jpg
    Чихуахуа (006.jpg)
    96,5 KB · Просмотры: 184

taiv

VIP
Сообщения
4.234
Город
Питер
Объясню причину.Многие наверное помнят,что в феврале этого года я сломала ногу,слмала серьезно,мне делали серьезную операцию и вы решили мне помочь и собирали денежку,похоже с денежкой которую собирала Елена ЧЧернигина не все ясно,очень большая просьба отписаться кто посылал денежку или здесь или в лмчку или в контакт.Спасибо всем большое заранее-тогда Еленой Чернигиной мне была переведена сумма в 3 тысячи рублей!

Девочки и еще раз пошу отписаться кто денежку перечислял!Спасибо вам за помощь!!!!
 

taiv

VIP
Сообщения
4.234
Город
Питер
Тань,хорошо что сломавшийся удалось удалить всё таки. Конечно снимок жесть!)

Да,уж сама как увидела чуть по стеночке не сползла-не думала что там такое,раньше мне видимо врачи снимки боялись показывать.А болт сломанный был один,это тот что самый длинный-его тяжелее всего удалять пришлост-СПАСИБО ОГРОМНОЕ врачам института имени Вредена!!!!золотые руки у них!!!
 

Вилли

Актив
Сообщения
1.824
Город
Москва
Нахимовский пр-т
Девочки ну и немного расскажу о последних событиях,я недавно перенесла повторную операцию-вытащили мне все болты и пластину и я наконец-то первый раз на руки снимок ноги получила-честно в ужасе была-что там было!!!Счас уже ничего этого нет!Слабонервных просьба не смотреть!!!)))
Таня, жесть, хорошо,что все закончилось благополучно.
 

Сверху