Обратите внимание: Компрессор для аквариума ACO 9730

Чихуахуа: "щелкают" суставы / вывих пателлы

Сообщения
5
..........

Говорят, что это заболевание очень распростанено у собак мелких пород.. Неужели никто не сталкивася? :confused:
 

Вложения

  • 1_Rentgenj.jpg
    Чихуахуа (Rentgenj.jpg)
    118,3 KB · Просмотры: 389
Последнее редактирование модератором:
Сообщения
7
nail, а какой диагноз врач ставит?

Насколько я поняла одна косточка перестала расти(закрылась зона роста),а вторая растет и изгибается(синдром лука)! Это проблема сустава ?Может мы перерастем на хондропротекторах?:cry:
 
Сообщения
5
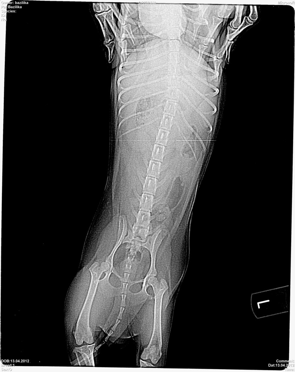
Здравствуйте! Нужен Ваш совет. У меня девочка чихуахуа,7,5 месяцев. Начала поджимать заднюю левую лапку. Несколько дней поджимала и даже не наступала на нее. Сегодня были на приеме у Емельянова В.В. в Первомайском ветцентре. Девочку осмотрел,направил на рентген и поставил диагноз "Вывих коленной чашечки левой тазовой конечности" . Сказал нужна операция. Больше ничего не назначил. У нас сейчас первая течка. По окончании течки сказал надо оперироваться. Попробую вставить снимок, посмотрите,может можно попробовать подавать страйд. Очень не хочется под нож.
 

Saya

ХЕНДЛЕР
Опытный участник
Сообщения
606
Город
Москва, МО
Осипова, скажу так, никогда не нужно основываться на словах одного доктора, всегда нужно собрать мнение нескольких профи и потом принимать решение, операция всегда последнее дело, никогда не поздно положить под нож собаку.
 
Сообщения
67
Город
Королев
Всем добрый вечер! Мы оперировались по вывиху коленной чашечки год назад. Было все в порядке. Сейчас вдруг начали щелкать суставы и на передних лапках(щелкают не всегда). После операции ничего назначено не было для суставов,врач объяснил, что все препараты типа страйд коммерческий"развод". Кто-нибудь сталкивался с такой проблемой?
 

Сверху